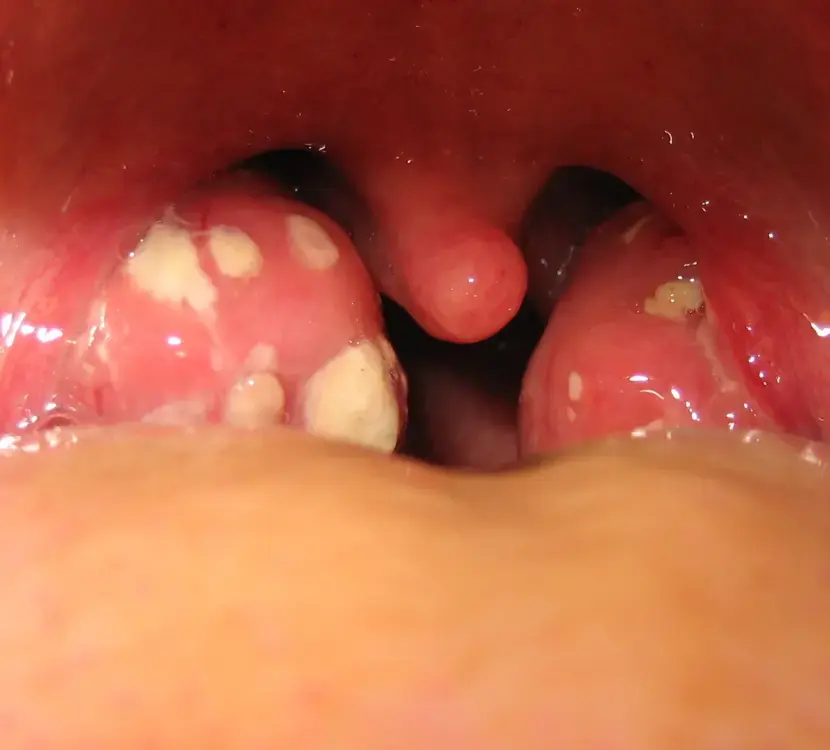
La amigdalitis es la inflamación de las amígdalas, masas de tejido linfoide que se localizan en la parte posterior de la garganta y son parte del sistema inmunológico que ayudan en la protección contra infecciones.
Esta enfermedad se manifiesta con dolor de garganta, fiebre, malestar general e inflamación de los ganglios del cuello, la misma puede ser causada por virus y bacterias.
Cynthia Rosario, cardióloga pediatra de los Centros de Diagnóstico y Medicina Avanzada y de Conferencias Médicas y Telemedicina (Cedimat), explica que la fiebre reumática es una grave complicación inflamatoria que puede surgir tras una infección por estreptococo del grupo A, como la amigdalitis o la escarlatina, la cual desencadena una reacción inmunológica inadecuada, en la cual el sistema inmunitario del cuerpo ataca sus propios tejidos, afectando el corazón, las articulaciones, el sistema nervioso y la piel.
Señala que para que se desarrolle la fiebre reumática es necesaria una combinación de factores como la presencia del germen, condiciones ambientales y la susceptibilidad del paciente. Este cuadro clínico puede causar un daño permanente en los tejidos, especialmente en las válvulas del corazón, lo que a menudo deriva en insuficiencia cardíaca.
Manifestaciones
La fiebre reumática se manifiesta con una variedad de síntomas que dependen del órgano afectado y que pueden evolucionar con el tiempo. Inicialmente, la infección por estreptococo se presenta como una faringoamigdalitis, caracterizada por fiebre repentina, dolor de garganta, dificultad para tragar, dolor de cabeza, náuseas y vómitos.
De no tratarse adecuadamente, la complicación inflamatoria aparece de dos a cuatro semanas después de la infección inicial, marcando el comienzo de la fiebre reumática.
Una vez ocurre esto, se desencadenan síntomas más graves como la carditis, una inflamación que afecta principalmente las válvulas del corazón. Aquí los pacientes pueden experimentar dificultad para respirar, dolor en el pecho y taquicardia, y los médicos pueden detectar soplos cardíacos.
Rosario destaca que la fiebre reumática también provoca artritis migratoria, afectando grandes articulaciones como las rodillas y los codos, que se vuelven enrojecidas y dolorosas.
Además, puede presentarse eritema marginado (una erupción cutánea con bordes irregulares), nódulos subcutáneos (protuberancias debajo de la piel) y corea, que se manifiesta como movimientos corporales espasmódicos e incontrolables, además de cambios de conducta como llanto o risa inapropiados.
La condición más temida asociada con la fiebre reumática es el daño irreversible que puede causar en el corazón, particularmente en las válvulas mitral y aórtica.
Este daño puede derivar en estenosis o insuficiencia valvular, que a menudo requieren cirugía para su reparación o reemplazo.
Además, el deterioro del músculo cardíaco y alteraciones del ritmo pueden poner en peligro la vida del paciente. Destaca que el riesgo de padecer fiebre reumática aumenta significativamente si la infección estreptocócica no se trata adecuadamente y aquellos que ya han padecido la enfermedad tienen un alto riesgo de recurrencia con infecciones subsecuentes.
Aunque su incidencia es mayor en condiciones de hacinamiento, pobre nutrición y poco acceso a servicios de salud, puede presentarse en cualquier persona expuesta al estreptococo.
Diagnóstico y pronóstico
El diagnóstico de fiebre reumática se realiza mediante los criterios de Jones, que incluyen una combinación de síntomas mayores y menores, como fiebre, alteraciones en el electrocardiograma y pruebas de laboratorio.
La doctora subraya la importancia de realizar una evaluación ecocardiográfica para confirmar la afección, independientemente de la presencia de soplos cardíacos.
El pronóstico depende de varios factores, incluyendo la severidad de la carditis inicial y la frecuencia de recurrencias. Los pacientes que presentan formas leves y no sufren recurrencias tienen mayor probabilidad de recuperación completa.
Sin embargo, la fiebre reumática es más severa cuando se presenta en edades tempranas, encontrándose mayor tasa de resolución en el hombre.
Rosario señala que, a pesar de la disminución significativa en la prevalencia de fiebre reumática en países desarrollados como Estados Unidos, sigue siendo causa importante de enfermedad cardiovascular a nivel global.
Cita que, según los Centros para el Control y la Prevención de Enfermedades (CDC), se estima que cada año se producen 470,000 nuevos casos de fiebre reumática en el mundo, lo que subraya la necesidad continua de vigilancia y prevención.
Tratamiento
La especialista expresa que la prevención de la fiebre reumática es esencial y se enfoca en dos aspectos clave: prevención primaria y prevención secundaria. La prevención primaria se logra diagnosticando y tratando adecuadamente las infecciones estreptocócicas, principalmente con el uso de penicilina.
Para los pacientes alérgicos a la penicilina, se pueden utilizar otros antibióticos como los macrólidos. Por otro lado, la prevención secundaria se enfoca en evitar la recurrencia de ataques de fiebre reumática aguda mediante el control riguroso de las infecciones estreptocócicas en pacientes que ya han padecido la enfermedad.
La fiebre reumática, afirma Rosario, representa un desafío persistente para la salud cardiovascular global, especialmente en regiones donde las condiciones socioeconómicas favorecen la propagación de infecciones estreptocócicas no tratadas.
Prevención
— Signos tempranos
Profesionales de la salud deben estar capacitados para reconocer los signos tempranos de la enfermedad y dar tratamiento adecuado para prevenir complicaciones a largo plazo.
La educación de la población
Aunque la prevención y el tratamiento adecuado de la enfermedad pueden reducir significativamente el riesgo de complicaciones graves, es necesario continuar los esfuerzos para educar a la población sobre la importancia del tratamiento temprano de las infecciones estreptocócicas, ya que sólo a través de un enfoque integral y preventivo se puede reducir la carga global de la enfermedad y mejorar la calidad de vida del grupo de riesgo.
